

きさらぎ矯正歯科医院> 診療案内
きさらぎ矯正歯科医院では、ワイヤーを使用した一般的な矯正の他にも、ムーシールドやジルコニアによる歯の作成・インプラント治療なども行なっております。
下記は様々な矯正方法の一例ですが、きさらぎ矯正歯科医院では患者様の健康をまず第一に考えております。
患者様のお身体の状態によって最適な歯科治療方法をその都度ご提案させていただきますし、無理な施術はいたしませんので、ご安心くださいませ。

歯に土台を取り付けてワイヤーを通し、張力によって歯並びを矯正する治療方法です。

歯に銀のワイヤーというのが『矯正』のイメージになっているかもしれませんが、昨今では歯と同じ色の土台や透明のワイヤーを使用することによって、目立ちにくいものがございます。
また、条件が整えば歯の裏側(舌側)に土台を設置することもできます。


ワイヤーによる矯正治療後、保定するために就寝時に装着するマウスピースのようなものです。
就寝時につけて寝ることで適度な負荷をかけ、ワイヤーによって動いた歯が戻ってしまうことを防ぎます。

食生活や加齢によって、また薬や損傷で、歯の色は変わってきます。
きさらぎ矯正歯科医院では着色の原因や歯のチェックをまず行い、光線照射機やオフィスホワイトニングジェルを用いてホワイトニングを行なっていますが、ご自宅で夜間に行うホームホワイトニングも可能ですので、患者様の生活に合わせておすすめさせていただいております。
実際の症例や料金などは「診療案内:歯や歯茎の色が気になる」をご参照ください。
体内の善玉菌の補給や菌質改善に、きさらぎ矯正歯科医院ではバクテリア・セラピーを行っています。
体内の菌のバランスが悪いと様々な病気を引き起こすことがあると考えられています。
例えば歯周病や口臭、虫歯などお口の中のことから胃腸疾患や感染症疾患など、それらは多岐に渡ります。
現代の生活環境は、過度な除菌や運動不足、薬の過剰摂取、そして精神的なストレスを伴うことが多く、その為体質自体が善玉菌の住み難い環境となっています。
バクテリア・セラピーは体内菌バランスを整え、悪玉菌を抑制することにより、体質の改善を目指す方法です。
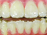
歯の被せものには様々な種類があるのをご存知でしょうか。
金属(いわゆる銀歯)やセラミックス、ガラスセラミックス、ジルコニアセラミックスなどがあり、その素材も様々です。
きさらぎ矯正歯科医院では、中でも歯の自然な色合いに近いジルコニアによる歯の作成を行うことができます。
ジルコニアは金属と同じ強度とされており、上部で長持ちいたします。また、金属ではないので金属アレルギーをお持ちの方でも心配がありません。
きさらぎ矯正歯科医院ではメーカーとの直接のやり取りにより、患者様に安く提供することができています。
歯を失ってお悩みの方は一度お気軽にお尋ねください。


ジルコニアで治療した歯の写真ですが、違和感がないかと思います。
幼児期における受け口の治療に用います。
6~18ヶ月程度、就寝時のみ装着します。
ワイヤーを用いる矯正治療に比べ安価なことから、受け口の子供を持つ親御様にお勧めさせていただいております。
成人してからの受け口の矯正治療を行うよりも骨格のでききっていない幼少期に治療を始める方がご本人様の身体的・精神的負担が少なくすみます。


| ムーシールド | ¥30,000 | |
| 動的治療 | ¥5,000×16回 | ¥90,000 |
| 合計 ¥120,000 | ||
何らかの理由により歯を失ってしまった場合に、顎の骨にチタン製のネジを埋め込みかぶせ物をして人工の歯を作る治療です。
上部構造に人工歯を取り付けることにより、失った歯をこれまでと同じように機能させることができます。
入れ歯に抵抗がある方やブリッジ(固定具)を装着できない方などに適しています。
外科手術が必要です。

症状や治療の内容により負担費用額は異なりますので、詳細は実際の状態を診察させていただいてからになりますが、おおまかな治療費は以下の通りです。きさらぎ矯正歯科医院で使用されている器具や設備のご紹介です。

