

きさらぎ矯正歯科医院> 診療案内 > 歯の色が気になる。
タバコや食生活、加齢などの影響で歯の色が変色してしまい黄色や茶色になった歯は、ホワイトニング治療で白くすることができます。
歯の汚れに関わらず色が取れません。
社交場や記念撮影など歯や口元を意識する機会には不安要素ともなりがちです。
特に結婚式を控えていらっしゃる方など、やはり人生の晴れ舞台には綺麗な歯で臨みたいものです。
しかし、矯正歯科治療はもちろんホワイトニングにも時間を必要といたしますので、お早めのご相談をおすすめさせていただきます。
まず、着色の原因や歯のチェックを行います。
次に光線照射機やオフィスホワイトニングジェルを用いてホワイトニングを行います。
ご自宅で夜間に行うホームホワイトニングといった手法もあり、患者様の生活に合わせてお勧めさせていただいています。
施術が一段落した後は、通常通りの歯磨きに加え年に2~3本のジェルを使用することで歯の白さを維持することができます。
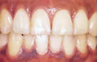
実際にホワイトニングを行なった写真です。
約4週間
約3週間
約7週間
| 初診料 | ¥1,700 | |
| ホワイトニング用トレー(型取り代含む) | 上下 | それぞれ ¥5,500 |
| ホワイトニングジェル | 1本 | ¥2,400 |
| 合計 ¥15,100 | ||
| ※ 金額の変動がございます。詳しくはお問い合わせください。 | ||