

きさらぎ矯正歯科医院> 診療案内 > 受け口が気になる。
約2年
下顎が上顎よりも大きく、上下の噛み合わせが逆になり、下の歯が前になってしまっている状態です。
歯が並ぶスペースが十分にない場合などに叢生と併発する方もいらっしゃいます。
下顎が引っ張られやすいことから、下顎の関節が外れやすくなります。
また、噛み合わせが正常にできないことから、食物を丸のみにしてしまいがちになる為、消化不良をおこしやすいと言えます。
ブラッシングもしづらいため、虫歯や歯周炎の原因になることもあります。
その他、肩こりや腰痛を引き起こすこともあります。
話し方においては「サ行」や「タ行」などの発音が舌足らずな喋り方になったり、下顎が過成長する事も考えられます。
また、見た目の問題となりますが劣等感を感じるようになることもございますので、日常の心を負担を少なくする意味でも矯正をお勧めさせていただいております。
上の歯、下の歯、ともに矯正具を装着し、ワイヤーに適度な負荷をかけて位置の補正をおこないます。
幼児の場合はムーシールドという矯正具を使うことにより、通常のワイヤーによる矯正よりもはるかに安価に治療を行うことができる場合があります。
永久歯が生える際に自然に治ることもがありますが少数例ですので、受け口のお子様をお持ちの親御様には早期の初期治療をお勧めさせていただきます。
無料の相談にてまずは患者様の悩みをおうかがいした後、矯正治療スケジュールを決め、矯正検査を行います。
およその場合、上の歯、下の歯、ともにマルチブラケットを装着します。
毎月1回来院していただき、矯正具のワイヤーの交換や調整を行い、約2年(22回)を目安に矯正治療計画を立てています。(動的治療)
改善後は、クリアーライナー(透明の保定器具)で約2年間保定を行い、保定中は2ヶ月に1回の来院となります。
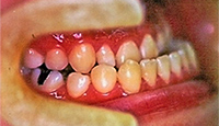
きさらぎ矯正歯科医院にて実際に矯正治療を行なった時の写真です。


| 矯正検査 | ¥50,000 | |
| マルチブラケット(透明) | ¥150,000×2個(上下) | ¥300,000 |
| 動的治療中 | ¥6,000×22回 | ¥132,000 |
| クリアーライナー | ¥28,000×2個(上下) | ¥56,000 |
| 保定中 | ¥3,000×12回 | ¥36,000 |
| 合計 ¥574,000 | ||
治療中における矯正装置の破損による再製は、動的治療費用および保定費用の中に含まれます。